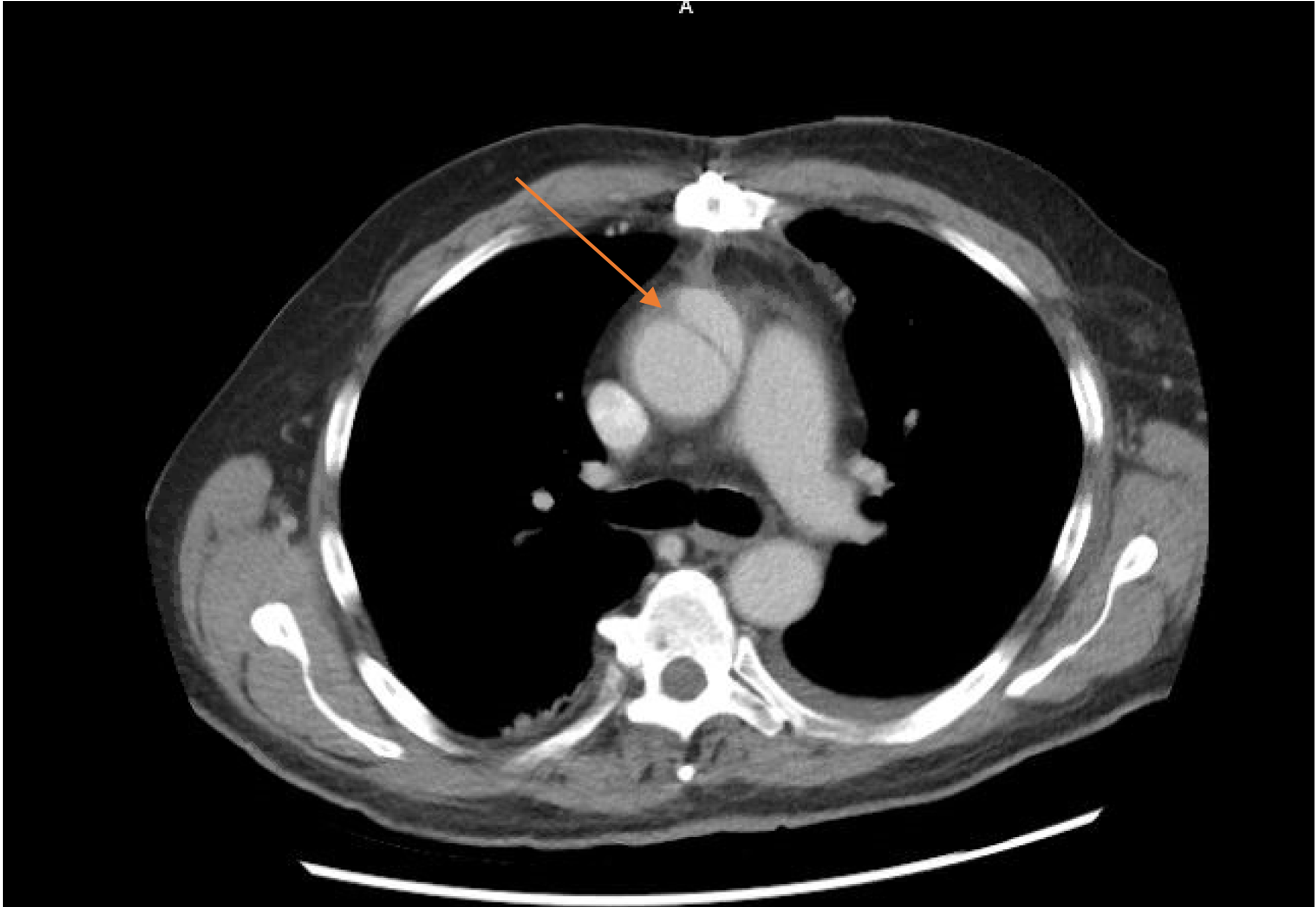
Ct Anatomy Of Ascending Aorta . Pulsation artifact particularly affects evaluation of the aortic root and ascending aorta. Dilatation of the ascending aorta is a common finding in the elderly but unusual in younger patients. Normal anatomy of the thoracic and abdominal aorta. The ascending aorta is the first part of the aorta and begins at the sinotubular junction (the junction of the aortic root and ascending. Landmarks of ascending aortic anatomy. The new generation cts show. Nowadays, ct represents the most widely employed technique for the study of the thoracic aorta. An image showing normal aortic root and ascending aortic anatomy. Pathology in adults, an ascending aortic diameter greater than 4 cm is. Landmarks of ascending aortic anatomy.
from www.researchgate.net
Pulsation artifact particularly affects evaluation of the aortic root and ascending aorta. Landmarks of ascending aortic anatomy. Dilatation of the ascending aorta is a common finding in the elderly but unusual in younger patients. Normal anatomy of the thoracic and abdominal aorta. Landmarks of ascending aortic anatomy. The ascending aorta is the first part of the aorta and begins at the sinotubular junction (the junction of the aortic root and ascending. An image showing normal aortic root and ascending aortic anatomy. The new generation cts show. Pathology in adults, an ascending aortic diameter greater than 4 cm is. Nowadays, ct represents the most widely employed technique for the study of the thoracic aorta.
Segmentation of the ascending aorta. "Centerline" of the ascending
Ct Anatomy Of Ascending Aorta Landmarks of ascending aortic anatomy. Landmarks of ascending aortic anatomy. Landmarks of ascending aortic anatomy. An image showing normal aortic root and ascending aortic anatomy. Pathology in adults, an ascending aortic diameter greater than 4 cm is. Pulsation artifact particularly affects evaluation of the aortic root and ascending aorta. Nowadays, ct represents the most widely employed technique for the study of the thoracic aorta. The ascending aorta is the first part of the aorta and begins at the sinotubular junction (the junction of the aortic root and ascending. Dilatation of the ascending aorta is a common finding in the elderly but unusual in younger patients. The new generation cts show. Normal anatomy of the thoracic and abdominal aorta.
From ar.inspiredpencil.com
Ascending And Descending Aorta Ct Anatomy Of Ascending Aorta Dilatation of the ascending aorta is a common finding in the elderly but unusual in younger patients. Landmarks of ascending aortic anatomy. Normal anatomy of the thoracic and abdominal aorta. An image showing normal aortic root and ascending aortic anatomy. The ascending aorta is the first part of the aorta and begins at the sinotubular junction (the junction of the. Ct Anatomy Of Ascending Aorta.
From www.ctisus.com
Dilated Ascending Aorta Chest Case Studies CTisus CT Scanning Ct Anatomy Of Ascending Aorta Nowadays, ct represents the most widely employed technique for the study of the thoracic aorta. Pulsation artifact particularly affects evaluation of the aortic root and ascending aorta. Pathology in adults, an ascending aortic diameter greater than 4 cm is. Normal anatomy of the thoracic and abdominal aorta. Dilatation of the ascending aorta is a common finding in the elderly but. Ct Anatomy Of Ascending Aorta.
From www.ahajournals.org
Thoracic and Abdominal Aortic Aneurysms Circulation Ct Anatomy Of Ascending Aorta Dilatation of the ascending aorta is a common finding in the elderly but unusual in younger patients. Pathology in adults, an ascending aortic diameter greater than 4 cm is. Landmarks of ascending aortic anatomy. Landmarks of ascending aortic anatomy. The ascending aorta is the first part of the aorta and begins at the sinotubular junction (the junction of the aortic. Ct Anatomy Of Ascending Aorta.
From www.meddean.luc.edu
Aorta Ct Anatomy Of Ascending Aorta Nowadays, ct represents the most widely employed technique for the study of the thoracic aorta. The new generation cts show. Pathology in adults, an ascending aortic diameter greater than 4 cm is. The ascending aorta is the first part of the aorta and begins at the sinotubular junction (the junction of the aortic root and ascending. Landmarks of ascending aortic. Ct Anatomy Of Ascending Aorta.
From www.dreamstime.com
Ascending Aortic Aneurysm on CT Scans Stock Photo Image of blood Ct Anatomy Of Ascending Aorta Pathology in adults, an ascending aortic diameter greater than 4 cm is. Nowadays, ct represents the most widely employed technique for the study of the thoracic aorta. Normal anatomy of the thoracic and abdominal aorta. Landmarks of ascending aortic anatomy. Dilatation of the ascending aorta is a common finding in the elderly but unusual in younger patients. An image showing. Ct Anatomy Of Ascending Aorta.
From boundbobskryptis.blogspot.com
Ascending Aorta Anatomy Anatomical Charts & Posters Ct Anatomy Of Ascending Aorta The new generation cts show. Dilatation of the ascending aorta is a common finding in the elderly but unusual in younger patients. An image showing normal aortic root and ascending aortic anatomy. Pathology in adults, an ascending aortic diameter greater than 4 cm is. Nowadays, ct represents the most widely employed technique for the study of the thoracic aorta. Landmarks. Ct Anatomy Of Ascending Aorta.
From www.cureus.com
Cureus Successful Medical Management of an Acute Ascending Aortic Ct Anatomy Of Ascending Aorta Landmarks of ascending aortic anatomy. Pathology in adults, an ascending aortic diameter greater than 4 cm is. The new generation cts show. Dilatation of the ascending aorta is a common finding in the elderly but unusual in younger patients. Nowadays, ct represents the most widely employed technique for the study of the thoracic aorta. Pulsation artifact particularly affects evaluation of. Ct Anatomy Of Ascending Aorta.
From boundbobskryptis.blogspot.com
Ascending Aorta Anatomy Anatomical Charts & Posters Ct Anatomy Of Ascending Aorta Pathology in adults, an ascending aortic diameter greater than 4 cm is. Nowadays, ct represents the most widely employed technique for the study of the thoracic aorta. The ascending aorta is the first part of the aorta and begins at the sinotubular junction (the junction of the aortic root and ascending. Dilatation of the ascending aorta is a common finding. Ct Anatomy Of Ascending Aorta.
From www.cartoongames.online
CT and MRI Assessment of the Aortic Root and Ascending Aorta AJR Ct Anatomy Of Ascending Aorta Pulsation artifact particularly affects evaluation of the aortic root and ascending aorta. Landmarks of ascending aortic anatomy. Nowadays, ct represents the most widely employed technique for the study of the thoracic aorta. Normal anatomy of the thoracic and abdominal aorta. Pathology in adults, an ascending aortic diameter greater than 4 cm is. An image showing normal aortic root and ascending. Ct Anatomy Of Ascending Aorta.
From www.pinterest.com.mx
nursing association on Instagram “Abdominal Aorta it’s branches! High Ct Anatomy Of Ascending Aorta Landmarks of ascending aortic anatomy. Landmarks of ascending aortic anatomy. The new generation cts show. Pathology in adults, an ascending aortic diameter greater than 4 cm is. Normal anatomy of the thoracic and abdominal aorta. Pulsation artifact particularly affects evaluation of the aortic root and ascending aorta. Dilatation of the ascending aorta is a common finding in the elderly but. Ct Anatomy Of Ascending Aorta.
From www.ajronline.org
CT and MRI Assessment of the Aortic Root and Ascending Aorta AJR Ct Anatomy Of Ascending Aorta Pathology in adults, an ascending aortic diameter greater than 4 cm is. Landmarks of ascending aortic anatomy. Landmarks of ascending aortic anatomy. Normal anatomy of the thoracic and abdominal aorta. Dilatation of the ascending aorta is a common finding in the elderly but unusual in younger patients. Nowadays, ct represents the most widely employed technique for the study of the. Ct Anatomy Of Ascending Aorta.
From rk.md
Double Aortic Arch RK.MD Ct Anatomy Of Ascending Aorta Normal anatomy of the thoracic and abdominal aorta. The new generation cts show. Landmarks of ascending aortic anatomy. An image showing normal aortic root and ascending aortic anatomy. Nowadays, ct represents the most widely employed technique for the study of the thoracic aorta. The ascending aorta is the first part of the aorta and begins at the sinotubular junction (the. Ct Anatomy Of Ascending Aorta.
From www.lecturio.com
Aortic Dissection Ct Anatomy Of Ascending Aorta The new generation cts show. Normal anatomy of the thoracic and abdominal aorta. Landmarks of ascending aortic anatomy. An image showing normal aortic root and ascending aortic anatomy. Dilatation of the ascending aorta is a common finding in the elderly but unusual in younger patients. Pulsation artifact particularly affects evaluation of the aortic root and ascending aorta. The ascending aorta. Ct Anatomy Of Ascending Aorta.
From www.ahajournals.org
Ascending Aortic Length and Its Association With Type A Aortic Ct Anatomy Of Ascending Aorta The new generation cts show. An image showing normal aortic root and ascending aortic anatomy. Pulsation artifact particularly affects evaluation of the aortic root and ascending aorta. Normal anatomy of the thoracic and abdominal aorta. Dilatation of the ascending aorta is a common finding in the elderly but unusual in younger patients. Nowadays, ct represents the most widely employed technique. Ct Anatomy Of Ascending Aorta.
From www.ahajournals.org
Ascending Aortic Dilatation Associated With Bicuspid Aortic Valve Ct Anatomy Of Ascending Aorta The ascending aorta is the first part of the aorta and begins at the sinotubular junction (the junction of the aortic root and ascending. Dilatation of the ascending aorta is a common finding in the elderly but unusual in younger patients. Normal anatomy of the thoracic and abdominal aorta. Landmarks of ascending aortic anatomy. Pulsation artifact particularly affects evaluation of. Ct Anatomy Of Ascending Aorta.
From mavink.com
Thoracic Aorta Anatomy Ct Anatomy Of Ascending Aorta Normal anatomy of the thoracic and abdominal aorta. The ascending aorta is the first part of the aorta and begins at the sinotubular junction (the junction of the aortic root and ascending. Landmarks of ascending aortic anatomy. An image showing normal aortic root and ascending aortic anatomy. Nowadays, ct represents the most widely employed technique for the study of the. Ct Anatomy Of Ascending Aorta.
From www.pinterest.ph
Check out this sagittal view of a CT aorta... TAKE NOTE OF 📝We Ct Anatomy Of Ascending Aorta The ascending aorta is the first part of the aorta and begins at the sinotubular junction (the junction of the aortic root and ascending. Pathology in adults, an ascending aortic diameter greater than 4 cm is. The new generation cts show. Landmarks of ascending aortic anatomy. Nowadays, ct represents the most widely employed technique for the study of the thoracic. Ct Anatomy Of Ascending Aorta.
From mavink.com
Ascending And Descending Aorta Anatomy Ct Anatomy Of Ascending Aorta The ascending aorta is the first part of the aorta and begins at the sinotubular junction (the junction of the aortic root and ascending. Pulsation artifact particularly affects evaluation of the aortic root and ascending aorta. Normal anatomy of the thoracic and abdominal aorta. Nowadays, ct represents the most widely employed technique for the study of the thoracic aorta. Landmarks. Ct Anatomy Of Ascending Aorta.